Ceramic dental crowns in Motor City, Dubai
Our clinic offers a variety of crowns including ceramic (porcelain), zirconia and porcelain-fused-metal to suit different needs and preferences.
We plan every case well ahead – first we make sure that the area around the tooth and the tooth itself is strong enough for a crown and, that a crown is advised & will be beneficial for the tooth. Our goal is that dental crowns last for a lifetime.
After careful imaging, we will scan your teeth with our intraoral scanner to show you the end result, before we get started. Once mutual understanding is reached regarding the shape and the color of the crown, we will carry out the treatment.
Our dental crowns are matched perfectly to the surrounding teeth, ensuring your smile looks even and harmonious.
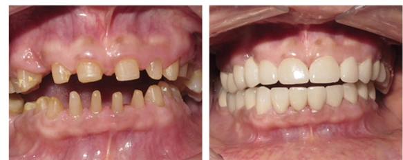
What is a dental crown?
Dental crowns are designed to cover or cap a tooth that’s damaged or decayed, restoring its shape, size, strength, and appearance. It works like a “helmet” for the tooth.
They fit over the remaining part of a prepared tooth making it strong, when a tooth is damaged, decayed, or in some cases when the tooth is aesthetically displeasing.
The Journey to Your Perfect Smile: Our 3-Step Process
Initial Phone Consultation:
Fill out the form below and we will contact you about your dental needs and expectations, providing personalized advice on your potential treatment options.
Specialist In-Clinic Examination
After the phone consultation we will invite you to our clinic for an examination, where you’ll receive a detailed treatment plan/dental offer tailored to your specific situation.
Booking Your Appointment:
With your treatment plan in hand, the next step is to book your appointment and start your dental journey!
Acer Dental Clinic
5 Key Reasons to Receive
Your Free Consultation Today
25% OFF ON ALL DENTAL TREATMENTS
PERSONALISED TREATMENT PLANS
MINIMALLY INVASIVE PROCEDURES
LATEST EQUIPMENT & BEST MATERIALS
SPECIALISTS WITH 20+ YEARS EXPERIENCE
25% OFF ON ALL DENTAL TREATMENTS
PERSONALISED TREATMENT PLANS
MINIMALLY INVASIVE PROCEDURES
LATEST EQUIPMENT & BEST MATERIALS
SPECIALISTS WITH 20+ YEARS EXPERIENCE
Simply Fill Out the Form and We Will Contact You About Your Dental Journey
Take the first step towards a healthier smile. Book your appointment with Acer Dental Clinic today and experience personalized care from our expert team of dental professionals.
Frequently asked questions
A dental crown typically lasts between up to 15 years, but with proper care, including good oral hygiene practices and avoiding habits like grinding teeth, they can last a lifetime. The lifespan of a crown depends on various factors such as the material used, the crown’s placement in the mouth, and the individual’s oral hygiene habits. Regular dental check-ups are important to monitor the condition of a crown and the underlying tooth.
There are mainly three types of dental crowns: porcelain (ceramic), porcelain fused to metal (PFM), and metal crowns (for example gold).
Porcelain crowns offer a natural appearance and are often used for front teeth. These are the most aesthetic and newest type of crowns.
PFM crowns have a metal core covered with a porcelain layer, combining strength with a more natural look. These crowns are typically cheaper and recommended for the back teeth.
Metal crowns, typically made of gold are the most durable and are typically used for molars (back teeth) due to the color.
Each type has its advantages, depending on the specific dental needs and aesthetic preferences. Find out what the best type is for you!
Getting a dental crown usually involves minimal to no pain because the procedure is performed under local anesthesia, which numbs the tooth. Patients may experience some sensitivity or discomfort after the procedure as the anesthesia wears off, but this can typically be managed well with over-the-counter pain medication. The process is generally well-tolerated, and any post-procedure sensations are temporary.
Dental crowns can be a good idea for several reasons. They effectively restore the function and appearance of damaged or decayed teeth, protect a weak tooth from breaking, cover a dental implant, or improve the aesthetics of a discolored or poorly shaped tooth. Crowns are customized to match the color and shape of your natural teeth, offering a durable, long lasting solution for enhancing dental health and smile aesthetics. However, the decision to get a crown should be based on a thorough evaluation by a dental professional to ensure it’s the best option for your specific needs.
A dental crown works by covering the entire damaged tooth, effectively protecting and strengthening it, while also improving its appearance.
Coverage for porcelain crowns varies by dental insurance plans. Many insurers provide partial coverage, considering them a necessary restorative procedure.
For detailed information on dental crown options, including the dental crown cost in Dubai, and to explore dental crown and bridges, we invite you to contact us. Let us help you achieve a seamless, natural-looking restoration for a brighter, healthier smile. Want to know more?
Yes, a crown can be removed by a dentist if necessary, such as in cases of underlying decay or for certain treatments. However, unless absolutely required, it’s best not to remove a crown due to the risks to the underlying tooth structure. Our goal is that dental crowns last for a lifetime, eliminating the need for removal and maintaining the health and integrity of your smileYes, a crown can be removed by a dentist if necessary, such as in cases of underlying decay or for certain treatments. However, unless absolutely required, it’s best not to remove a crown due to the risks to the underlying tooth structure. Our goal is that dental crowns last for a lifetime, eliminating the need for removal and maintaining the health and integrity of your smile
Yes, a dental crown can be replaced. Over time, a crown may need replacement due to wear and tear, damage, or decay developing at the edge of the crown where it meets the tooth. The replacement process involves removing the old crown, addressing any underlying issues such as decay, reshaping the tooth if necessary, and fitting a new crown. The goal with every crown is to achieve a durable restoration that lasts a lifetime, but when the situation demands it, replacement ensures the continued health and appearance of your smile.
No, a dental crown cannot be whitened. Crowns are made from materials like porcelain, ceramic, or zirconia, which are stain-resistant and do not respond to traditional tooth whitening treatments. The color of a crown is set during its manufacture, matching the shade of the surrounding teeth at that time. If your crown appears discolored or no longer matches your natural teeth, replacing the crown is the only way to adjust its color. To maintain the appearance of your crown, it’s important to follow good oral hygiene practices and have check-ups every 6 months with your dentist.
– Examination: Ensuring suitability for a crown to last a lifetime. We use imaging and an intraoral scanner for previewing the result.
– Smile Design: Tailoring the crown to your smile.
The treatment itself will not take more than 1 hour, the specialist will remove the outer layer of the tooth and will change any old fillings to make sure that you receive the crown on a completely healthy tooth. You will leave with a temporary crown and after a few days we will cement (fix) the final crown. Before cementation you will be able to see the crown and we will only go ahead with the procedure if you are satisfied.
Why put a crown on the tooth?
A crown is placed on a tooth to protect and strengthen it, restore its shape or function if it’s significantly damaged or decayed, and improve its appearance
– Shade Selection: Matching the crown to your teeth.
– Pain-Free: Comfortable treatment from start to finish.
After a root canal treatment, a tooth is often left weakened and more prone to fracture because the procedure involves removing the tooth’s pulp (the part containing blood vessels and nerves), which can reduce its resilience. A crown is placed over the tooth to restore its strength, functionality, and appearance, ensuring it can withstand the forces of biting and chewing effectively and protecting it from further damage.
A crown is usually recommended to be placed on a root canal treated tooth as soon as possible after the treatment, often within a few weeks. This timing helps protect the tooth, which becomes more brittle and prone to fracture after root canal treatment, by restoring its strength and functionality. Delaying the placement of a crown can increase the risk of tooth damage or loss.
After getting a crown, it’s normal for your tooth to hurt or feel sensitive because the tooth needs time to adjust, and the procedure can irritate the nerve, causing inflammation. This usually results in temporary sensitivity to temperature or pressure, but if the pain persists, it’s a good idea to reach out to us, to ensure everything is as it should be.
Putting a crown on a baby tooth helps save a damaged tooth when it’s too decayed for a filling, preserving it for chewing and guiding the proper growth of permanent teeth. It also helps prevent the spread of decay and maintains the child’s overall oral health until the tooth naturally falls out. If a baby tooth is pulled out instead a space maintainer may be needed to prevent the other teeth from shifting into the gap. (This shifting can lead to alignment issues or problems with the eruption of permanent teeth). And having a removable space maintainer has challenges of it’s own.
The best crown for your teeth depends on factors like tooth location and aesthetics. Porcelain or ceramic crowns are great for front teeth because they match your natural teeth’s color and are suitable for people with metal allergies. Porcelain-fused-to-metal (PFM) crowns offer a good mix of durability and a natural look, making them a popular choice. Gold and other metal crowns are the most durable and are an excellent option for back teeth. They typically require less preparation to the tooth, because they don’t need to be as thick as a zirconia for example, which is more fragile. Zirconia crowns combine strength and a tooth-like appearance, though they may be more abrasive to opposing teeth and may require more tooth structure to be removed, as there is a minimum thickness of the material that needs to be applied.
For front teeth, porcelain or ceramic crowns are often considered the best choice because they provide the most natural appearance, closely matching the color and texture of your natural teeth. These materials can be finely tuned to mimic the translucency and shade of your teeth, making them ideal for the aesthetic requirements of front teeth restorations.











