A Complete Guide to Your Smile Transformation
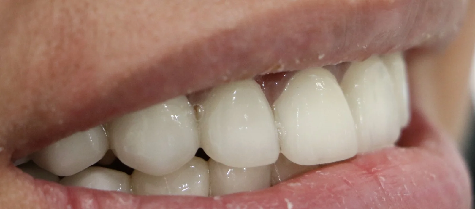
(Image: Hero image showing a close-up of a confident smile with natural-looking veneers)
Thinking about veneers to fix chipped, discolored, or uneven teeth? You’re not alone. More people in Dubai are choosing veneers to achieve a confident, natural-looking smile. But one of the first questions that comes to mind is: what’s the actual cost, and what are you really getting for your money?
Let’s break down everything you need to know about Teeth Veneers Cost in Dubai, from single tooth fixes to complete Hollywood smiles.
Veneer Prices in Dubai: What to Expect
| Veneer Type | Cost per Tooth (AED) | Durability | Best For |
| Composite | 700–1,200 | 5–7 years | Budget-friendly & quick fixes |
| Emax | 1,800–2,500 | 10–15 years | Natural look & long-term durability |
| Zircon | 2,500–3,500 | 15+ years | A balance of Premium cosmetic results & strength |
Common Treatment Costs
- 2 teeth veneers: AED 1,400–7,000 (great for fixing front teeth gaps or chips)
- 6 teeth veneers: AED 4,200–21,000 (most popular for upper front teeth)
- Full Hollywood smile (8-10 teeth): AED 8,000–35,000 (complete smile transformation)
At Acer Dental Clinic, Dr. Feroz Gafoor, Dr Jogi Jose Chungath, and Dr. Aarushi Joshi work with patients to create treatment plans that fit their goals and budget, whether you need just a couple of teeth fixed or a full smile makeover.
Why Do Prices Vary So Much?
The Material Makes a Difference
Composite veneers are applied directly to your teeth in one visit, making them the most affordable option. They’re perfect if you need a quick fix or want to test out the veneer look before committing to something permanent.
Emax veneers are ultra-thin and are nearly indistinguishable from natural teeth. They’re what most people think of when they picture a “Hollywood smile.”
Zirconia are stronger, premium choice, is incredibly strong, and is used in areas with a stronger bite.
Step-up durability: Composite < Emax < Zirconia
For FRONT teeth: Emax is usually the most beautiful, most natural, and longest lasting due to superior bonding
For BACK teeth or grinders: Zirconia is the most durable and safest
For budget or temporization: Composite works but has the highest long-term risk of staining, edge chipping, and wear
Your Dentist’s Expertise Matters
Dr. Feroz Gafoor, Dr Jogi Jose Chungath And Dr Aarushi Joshi at our clinic bring years of specialized training to every case. Many patients researching the best dental veneers in Dubai also look for dentists who combine cosmetic experience with advanced planning techniques, ensuring the results look as natural as possible.
What Your Teeth Actually Need
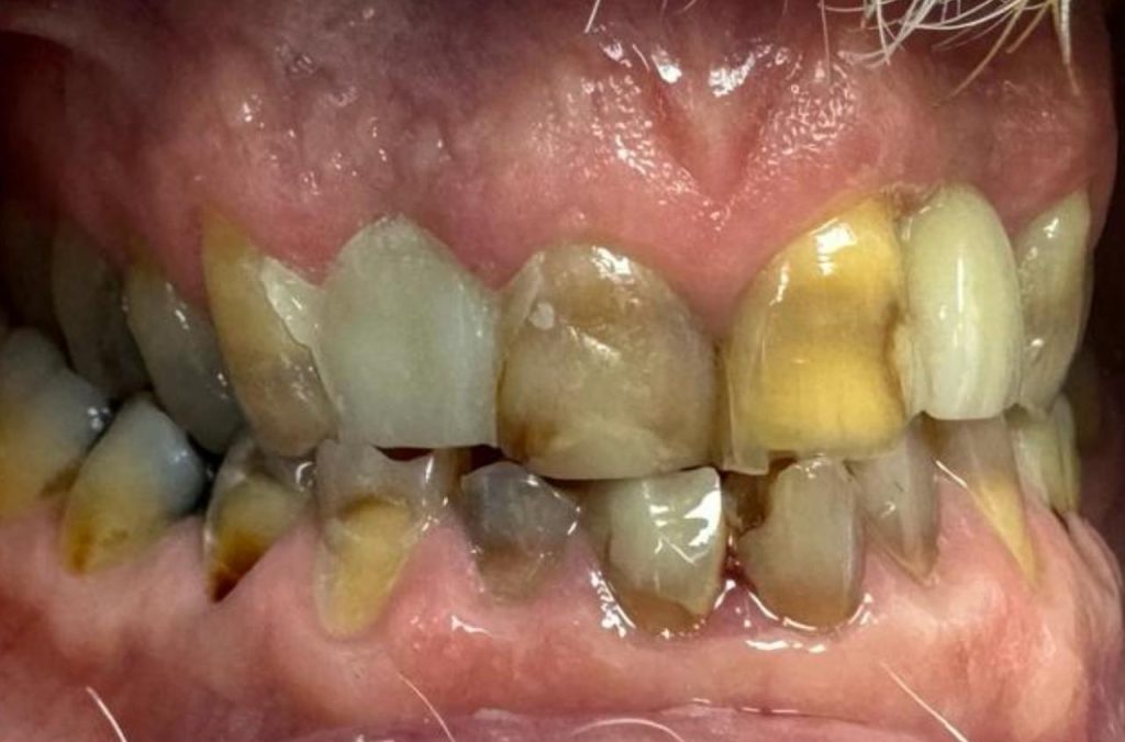
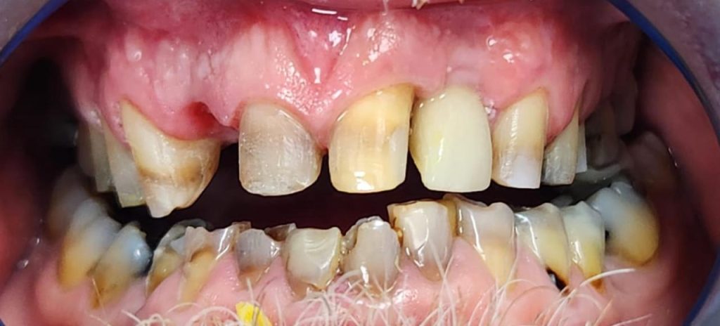
Some patients walk in ready for veneers. Others need prep work first maybe a cleaning, gum treatment, or fixing underlying issues. Dr. Ummu Habeeba Sajeer, our Maxillofacial Radiologist, uses advanced imaging to map out exactly what you need, so you’re not paying for unnecessary treatments.
Location in Dubai
Clinics in high-end areas like Downtown Dubai or Dubai Marina often have higher overhead costs. At Acer Dental Clinic, we focus on delivering premium quality care at fair prices.
Composite Veneers → Emax → Zirconia Veneers: Which Should You Choose?
Zirconia full mouth rehabilitation




Emax Veneers


Each veneer type offers different benefits, and the most suitable option varies from patient to patient. The points below explain common reasons people choose composite, Zirconia, or Emax veneers. Your dentist will help determine which material fits your needs during your consultation.
Composite Veneers → Emax → Zirconia Veneers
| Feature | Composite Veneers | Emax Veneers | Zirconia Veneers |
| Durability (normal bite) | 5 – 7 yrs | 12 – 18+ yrs | 15 – 20+ yrs |
| Durability (high stress / back teeth) | ⚠ not ideal | △ can manage, but risk ↑ | ✅ best choice |
| Fracture/Chip Resistance | ⭐⭐☆☆☆ | ⭐⭐⭐⭐☆ | ⭐⭐⭐⭐⭐ |
| Wear Resistance | Moderate | High | Very High |
| Bond Strength to Enamel | Good (chairside), but surface aging ↑ | Excellent (etch + bond predictable) | Good, but bond less chemical than Emax |
| Bruxism (grinding) tolerance | ❌ not recommended | ⚠ possible but caution | ✅ highly recommended |
| Stain/Color Stability | △ can discolor over time | ✅ very stable | ✅ very stable |
| Esthetics / Natural Look | ⭐⭐⭐☆☆ (good, not translucent) | ⭐⭐⭐⭐⭐ (best, enamel-like) | ⭐⭐⭐⭐☆ (very good, slightly opaque) |
| Tooth Reduction Needed | Minimal / sometimes none | 0.3 – 0.5 mm (conservative) | 0.5 – 0.8 mm (slightly more) |
| Best For | Budget, ultra-fast same-day, small corrections | Premium front-teeth smile zone | Maximum strength, back teeth, heavy bite, dark teeth masking |
| Typical Cost Range (AED per tooth) | 700 – 1,200 | 2,200 – 3,200 | 2,500 – 3,500 |
| Overall Strength Ranking | 1️⃣ Lowest | 2️⃣ Stronger | 3️⃣ Strongest |
What to Expect at Acer Dental Clinic?
Our approach is simple: transparency, quality, and results you’ll love. When you book your free consultation, here’s what happens:
We start with a complete examination using digital imaging and CBCT technology. Dr. Jogi Jose Chungath, our specialist, reviews your oral health to ensure veneers are the right solution. Then we use digital smile design to show you what your new smile will look like before any work begins.
You’ll get a detailed treatment plan with clear pricing that includes everything: preparation, temporaries (if needed), final placement, and follow-ups. No hidden fees, no surprises.
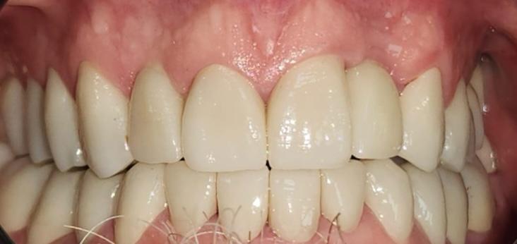
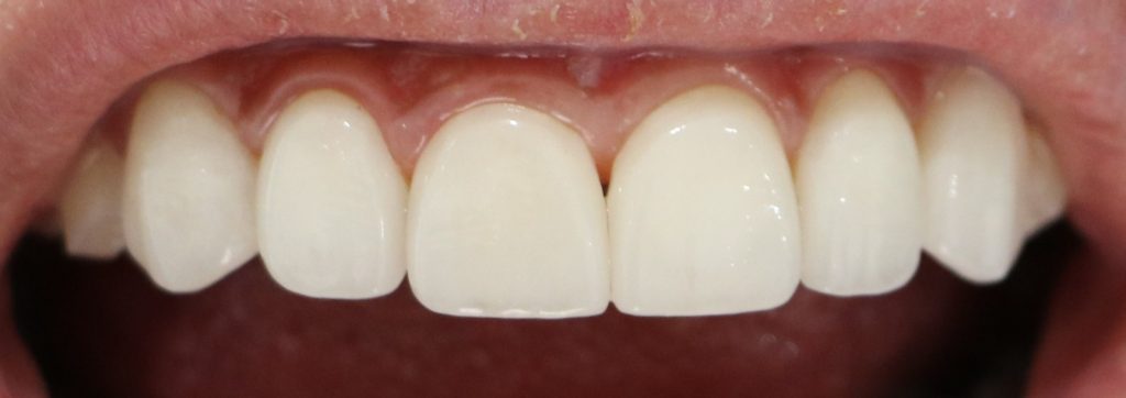
Our team has transformed countless smiles, and we’re proud to show you real results from patients who came to us with concerns just like yours.
Making Veneers Fit Your Budget
We offer flexible payment plans that let you spread the cost over time. Some patients start with their upper front 4-6 teeth and add more later. It’s your smile, and we work at your pace to make it happen.
Ready to See Your New Smile?
If you’ve been searching for veneers Dubai price or wondering what your smile could look like, book your free consultation today. We’ll answer all your questions, show you what’s possible, and give you honest pricing even if veneers aren’t the right choice for you yet.
Visit acdc.ae or call us to schedule your appointment. Let’s create a smile you’ll love showing off.
FAQ’s About Veneer Costs in Dubai
Q: How do I choose the best dental veneers in Dubai?
Choosing the best veneers depends on factors like the material, the shade you prefer, your oral condition, and your long-term goals. Your dentist will guide you through the options to determine what suits your smile best.
Q: How long will my veneers actually last?
E max veneers last 10-15 years with proper care, while Zirconia veneers can last 15+ years. Composite veneers typically need replacement or touch-ups after 5-7 years. Regular check-ups help maximize their lifespan.
Q: Can I just get veneers on a few teeth?
Absolutely. Most people get veneers on their upper front 6-8 teeth for a balanced smile. You can start with 2-4 teeth if you’re fixing specific issues like chips or gaps.
Q: What’s included in the veneer price?
Our prices include consultation, tooth preparation, temporary veneers (for Zirconia/Emax), final placement, and follow-up visits. We give you a complete breakdown upfront so you know exactly what to expect.
Q: Do veneers require special maintenance?
Not really. Brush and floss normally, avoid biting hard objects (ice, pens), and see your dentist regularly. Porcelain and Emax resist staining, but composite may need occasional polishing.
Q: Will my insurance cover veneer?
Most insurance treats veneers as cosmetic and won’t cover them. If you’re getting veneers to repair damaged teeth from injury or decay, you might get partial coverage check your specific policy.
Do you offer payment plans?
Yes, we offer flexible payment options to make treatment more accessible. During your free consultation, we’ll discuss plans that work for your budget.



